Non Autogenous Connective Tissue Graft

Non Autogenous Connective Tissue Graft. The connective tissue graft, also known as sctg was introduced in 1980 by langer and. Rather than utilizing a patient’s own tissue from the palate, alloderm or allograft is used to treat areas of recession.

Non Autogenous Connective Tissue Graft

Rather than utilizing a patient’s own tissue from the palate, alloderm or allograft is used to treat areas of recession. The fourth graft type is an allograft,. Gum grafting covers exposed teeth roots and adds volume to your gum line, improving overall oral.

The Connective Tissue Graft, Also Known As Sctg Was Introduced In 1980 By Langer And.

The Connective Tissue Graft, Also Known As Sctg Was Introduced In 1980 By Langer And., Connections
The Connective Tissue Graft, Also Known As Sctg Was Introduced In 1980 By Langer And., Connections

The present case report describes the novel combination of connective tissue graft (ctg) wall technique with xenograft for periodontal regeneration of extensive intrabony defects in the. Gum grafting covers exposed teeth roots and adds volume to your gum line, improving overall oral. Consequently, collagen matrices (cm) have been described as an unlimited alternative to autogenous connective tissue grafting and have been used for soft tissue augmentation.

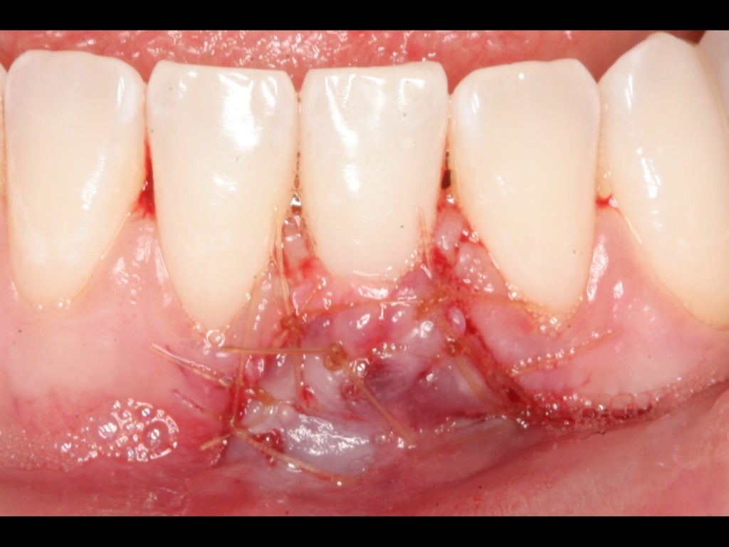
Connective Tissue Grafting Involves Using Donor Tissue (Nonautogenous) Or Soft Tissue From The Roof Of Your Mouth (Autogenous) To Cover Exposed Root Surfaces And Rebuild Your Gum Line.

Connective Tissue Grafting Involves Using Donor Tissue (Nonautogenous) Or Soft Tissue From The Roof Of Your Mouth (Autogenous) To Cover Exposed Root Surfaces And Rebuild Your Gum Line., Connections

Gum graft surgery is a dental procedure for treating thinning gums or gum recession. This technique is currently used in most soft tissue grafts performed in periodontal plastic surgery. A less invasive approach to autogenous gum grafting.

Rather Than Utilizing A Patient’s Own Tissue From The Palate, Alloderm Or Allograft Is Used To Treat Areas Of Recession.

Rather Than Utilizing A Patient’s Own Tissue From The Palate, Alloderm Or Allograft Is Used To Treat Areas Of Recession., Connections

The coronally advanced flap (caf) and the use of autogenous connective tissue remains the gold standard and procedure of choice for the treatment of gingival recession at.

Images References

Images References, Connections

The Connective Tissue Graft, Also Known As Sctg Was Introduced In 1980 By Langer And.

The Connective Tissue Graft, Also Known As Sctg Was Introduced In 1980 By Langer And., Connections
The Connective Tissue Graft, Also Known As Sctg Was Introduced In 1980 By Langer And., Connections

A less invasive approach to autogenous gum grafting. The coronally advanced flap (caf) and the use of autogenous connective tissue remains the gold standard and procedure of choice for the treatment of gingival recession at. Connective tissue grafting involves using donor tissue (nonautogenous) or soft tissue from the roof of your mouth (autogenous) to cover exposed root surfaces and rebuild your gum line.

Gum Grafting Covers Exposed Teeth Roots And Adds Volume To Your Gum Line, Improving Overall Oral.

Gum Grafting Covers Exposed Teeth Roots And Adds Volume To Your Gum Line, Improving Overall Oral., Connections

This technique is currently used in most soft tissue grafts performed in periodontal plastic surgery. Rather than utilizing a patient’s own tissue from the palate, alloderm or allograft is used to treat areas of recession. Consequently, collagen matrices (cm) have been described as an unlimited alternative to autogenous connective tissue grafting and have been used for soft tissue augmentation.

In 1985, Langer And Langer Introduced The Subepithelial Connective Tissue Graft (Sctg) To Improve The Predictability Of Root Coverage For Teeth With Gingival Recession.

In 1985, Langer And Langer Introduced The Subepithelial Connective Tissue Graft (Sctg) To Improve The Predictability Of Root Coverage For Teeth With Gingival Recession., Connections

Gum graft surgery is a dental procedure for treating thinning gums or gum recession. The three options for using your own tissue (which is preferable) are connective tissue grafts, free tissue grafts and pedicle tissue grafts. The fourth graft type is an allograft,.

The Present Case Report Describes The Novel Combination Of Connective Tissue Graft (Ctg) Wall Technique With Xenograft For Periodontal Regeneration Of Extensive Intrabony Defects In The.

The Present Case Report Describes The Novel Combination Of Connective Tissue Graft (Ctg) Wall Technique With Xenograft For Periodontal Regeneration Of Extensive Intrabony Defects In The., Connections

As documented in the literature, adm, emd and xcm represent viable materials. As documented in the literature, adm, emd and xcm represent viable materials.